In diesem Anwenderbericht zeigen uns Dr. Beldoch und Dr. Valentin aus Köln ihre Arbeit und Erkenntnisse mit unserem Bleach’n Smile System.
Die Auswahl der Materialen, deren praktisches Handling und die korrekte Anwendung bedürfen professioneller Betreuung und Kontrolle. In unserer Praxis verwenden wir bereits seit mehreren Jahren „Bleach’n Smile Automix“ (Fa. Schütz, Rosbach) [Abb. 1]. In diesem Beitrag möchten wir beispielhaft die Anwendung dieses Systems darstellen.
1. Planung / Aufklärung
Die Patientin stellte sich mit dem Wunsch einer Zahnaufhellung in unserer Praxis vor. Nach Befunderhebung stellten sich neben einer starken Zahnverfärbung durch Medikamente multiple initialkariöse Defekte insbesondere an den Zahnhälsen dar. Unter Berücksichtigung der „White Spot“ – Läsionen wurde die Patientin ausführlich über Risiken des Bleaching, hierbei insbesondere Hypersensitivitäten, aufgeklärt. Es wurden Ausgangsfotos zur Dokumentation angefertigt [Abb. 2] und die Zahnfarbe wurde erstmals bestimmt [Abb. 3]. Es wurde entschieden im sichtbaren Bereich, in diesem Fall 14-24 und 34-44, zu bleachen.
2. Professionelle Zahnreinigung
An dem vorab vereinbarten Termin wurde zuerst eine professionelle Zahnreinigung durchgeführt. Außer der manuellen Reinigung wurde ein Pulverstrahlgerät eingesetzt, um die vorhandenen oberflächlichen Verfärbungen gründlich zu entfernen. Eine intensive Politur stellte den Abschluss der Vorbehandlung dar [Abb. 4].
3. Vorbereitung
Zum Schutz der Schleimhäute und der Gingiva wurde ein Wangenhalter eingesetzt. Zusätzlich wurde der „Dental Dam“ (Fa. Schütz, Rosbach) dünn aufgetragen und abschnittsweise lichtgehärtet. Der „Dental Dam“ wird mit Hilfe der beigelegten Kanülen direkt aus der Spritze appliziert. Um ein Verschwimmen und damit aufwendige Korrekturen zu vermeiden, wurde der „Dental Dam“ quadrantenweise jeweils bis hinter den letzten zu behandelnden Zahn aufgetragen. Gegebenenfalls vorhandene Überschüsse konnten vorsichtig mit einem Skalpell entfernt werden [Abb. 5&6].
4. Vorbereitung
Das Bleaching erfolgt mit dem „Bleach’n Smile“-Gel, welches mit Hilfe der beigelegten Kanüle direkt aus der Spritze auf die vestibulären Flächen der zu bleichenden Zähne aufgetragen wird. Durch den vorhandenen Farbkontrast zu dem „Dental Dam“ ist eine gleichmäßige Abdeckung der Zahnflächen besonders im Zahnhalsbereich einfach zu bewerkstelligen. Die Verteilung des Materials auf den Zahnoberflächen lässt sich direkt mit der Kanüle, hilfsweise mit einer Sonde, verbessern. Die Anwendung erfolgt nach Bedarf bis zu drei Mal über bis zu zehn Minuten [Abb. 7].
Im vorliegenden Fall wurde das Gel aufgrund auftretender Hypersensibilitäten bereits nach fünf Minuten bei der ersten Anwendung, jeweils nach sieben Minuten bei der zweiten und dritten Anwendung entfernt. Dabei wurde das Gel zuerst mit einer Saugkanüle abgesaugt und die Zähne dann gründlich mit Wasser abgespült [Abb. 9]. Zur Effektsteigerung bei kurzer Einwirkzeit wurde das Gel mit Hilfe einer Lichtlampe aktiviert [Abb. 8]. Nach der letzten Anwendung wurde der „Dental Dam“ mit einer Pinzette am Stück abgezogen und der Mund gründlich ausgespült.
5. Effekt
Zur Effektbeurteilung erfolgte eine erneute Farbbestimmung. Im vorliegenden Fall konnte eine Aufhellung um vier Stufen erfolgen (2M2 -> 1M2) [Abb. 10&11]. Eine Weißfärbung der Gingiva konnte durch das sorgsame Aufbringen des „Dental Dams“ völlig verhindert werden.
6. Nachsorge
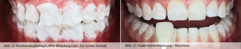
Zur Unterstützung der Remineralisation wurde „After Bleaching Care“ (Fa. Schütz, Rosbach) für ca. drei Minuten auf die behandelten Zähne aufgetragen [Abb. 12]. Nach der Einwirkzeit wurde das Gel abgesaugt und die Patientin spülte den Mund gründlich aus. Bei den nach vier und 10 Tagen erfolgten Nachkontrollen konnten keinerlei Hypersensitivitäten festgestellt werden. Dennoch wurde prophylaktisch eine Intensivfluoridierung der Zähne empfohlen und durchgeführt.
Diskussion
Wenn Zähne gebleicht werden, stellt sich immer wieder die Frage nach den daraus resultierenden Schäden. Insbesondere bei regelmäßigem Bleichen oder bei Risikogruppen (z. B. mit multiplen initialkariösen Läsionen (wie in diesem Fallbeispiel), ist eine Abwägung der Vorteile und Risiken mit dem Zahnarzt unumgänglich [1, 2, 3]. Gleichzeitig sind die Risiken und Folgeschäden bei korrekter Anwendung minimal [1, 3, 4]. Die Aufhellung der Zähne um mehrere Farbstufen (hier vier) führt zu einer deutlich verbesserten optischen Wahrnehmung der Zähne, des Gesichts. Eine Wiederholung der Behandlung kann bei Verschlechterung erfolgen, wobei die Dauer des Effekts von vielen Faktoren (u. a. Ernährung, Genussmittelkonsum, Ausgangsfarbe) abhängt. Insbesondere bei kürzeren Zeitabständen einer Wiederholung ist die Beratung durch Fachpersonal zur adäquaten Nutzen-Risiko-Abwägung wichtig. Abschließend lässt sich sagen, dass das dentale Bleaching heutzutage zum Praxisalltag gehört, die Risiken und Nebenwirkungen bei richtiger, professioneller Handhabung minimal und die Effekte sehr zufriedenstellend sind. Die Anwendung für das zahnärztliche Team kann durch Kits, wie das „Bleach’n Smile Automix“, vereinfacht und die Behandlung damit schneller und kostengünstiger gestaltet werden.
Literatur
1. Attin, T. Sicherheit und Anwendung von carbamidperoxidhaltigen Gelen bei Bleichtherapien. DZZ 01/1998, 11-6.
2. Attin, T., Kielbassa, A.M.: Die Bleichbehandlung – ein fester Bestandteil ästhetischer Zahnheilkunde. Zahnärztl Mitt85, 2674-2681 (1995).
3. Haywood, VB. History, safety, and effectiveness of current bleaching techniques and applications of the nightguard vital bleaching technique. Quintessence Int. 1992 Jul;23(7):471-88.
4. Li, Y. Toxicological considerations of tooth bleaching using peroxide-containing agents. J Am Dent Assoc. 1997 Apr;128 Suppl:31S-36S.
Hinweis:
Dieser Bericht dient nicht als Anleitung. Die Anleitungen für die verwendeten Materialien und Geräte sind zu beachten. Die Verantwortung liegt beim Behandler.


